您的位置: 首页 > 2025年11月 第40卷 第11期 > 文字全文
2023年7月 第38卷 第7期11
目录

非典型弓形虫视网膜炎误诊原因和临床特征分析

Analyzing the causes of misdiagnosis and clinical characteristics of atypical toxoplasma retinitis

来源期刊: 眼科学报 | 2025年11月 第40卷 第11期 953-963 发布时间:2025-11-28 收稿时间:2025/11/28 10:18:07 阅读量:37
作者:
关键词:
弓形虫网膜坏死疱疹病毒
toxoplasma gondii retinal necrosis herpesvirus
DOI:
10.12419/25043003
收稿时间:
2025-05-22 
修订日期:
2025-07-16 
接收日期:
2025-08-20 
目的:分析免疫抑制状态下,无猫接触史、不伴玻璃体混浊且视网膜呈现大片状黄白色坏死灶的弓形虫视网膜炎患者的误诊原因及临床表现。 方法:病例系列研究。收集2021年9月—2023年4月于中山大学中山眼科中心确诊的不典型弓形虫视网膜炎患者临床资料,分析其误诊原因、临床表现及治疗预后。结果:纳入3例患者(5眼),患者均为女性,其中1例对侧眼1年前诊断为“葡萄膜炎”导致无光感,其余2例均为双眼先后发病。年龄为31~34岁,从发病到确诊,病程1~2个月。3例患者均无猫接触史。均因全身疾病而使用大剂量免疫抑制药物:2例为慢性系统性红斑狼疮患者,不规则治疗后出现复发;1例患者因“暴发性肝坏死”,进行肝移植手术,术后使用免疫抑制抗排斥药物。眼底检查显示玻璃体无明显混浊,眼底图上有大片状黄白色视网膜病灶,在光学相干断层扫描(optical coherence tomography, OCT)上表现为坏死样改变。首诊均误诊为急性视网膜坏死或巨细胞病毒性视网膜炎,2例患者还伴有EB病毒阳性,行局部及全身抗病毒治疗,视力进一步下降伴坏死灶进一步扩大。转诊至中山大学中山眼科中心后,补充房水检测均提示弓形虫DNA强阳性。予抗弓形虫治疗后视网膜坏死灶明显吸收,视力提高。结论:在免疫抑制状态下,弓形虫视网膜炎可表现为非典型的大片状视网膜坏死、无玻璃体混浊及无猫接触史,易被误诊为其他视网膜炎症。临床医生应高度警惕免疫抑制人群中弓形虫视网膜炎的可能性,及时进行房水弓形虫DNA检测有助于明确诊断并改善预后。
Objective: Vitreous opacity and cat contact history are two major diagnostic criteria for toxoplasmic retinochoroiditis. This study aimed to explore the causes of misdiagnosis and the clinical manifestations of patients with toxoplasmic retinochoroiditis who present with large yellowish-white necrotic retinal lesions but lack both a history of cat exposure history and vitreous opacity. Methods: This was a case series study. We collected clinical data from three patients diagnosed at Zhongshan Ophthalmic Center, Sun Yat-sen University between September 2021 and April 2023. All patients presented without a history of cat contact or vitreous opacity.The causes of misdiagnosis, clinical features, and treatment outcomes were analyzed. Results: The study included three patients (five eyes), all of them were female. One patient had no light perception in the contralateral eye after a 3-year disease course, while the other two exhibited bilateral involvement. The patients’ ages ranged from 31 to 34 years, and the duration of symptoms before diagnosis was 1–2 months. None reported exposure to cats, but all were immunocompromised: two had systemic lupus erythematosus (SLE) with irregular treatment and relapse, and one had underwent liver transplantation for "fulminant hepatic necrosis" and was receiving post-transplant immunosuppression. Fundus examination revealed no vitreous opacity, and retinal lesions appeared as large yellowish-white changes on fundus photography and necrotic changes on optical coherence tomography(OCT). Initially, all cases were misdiagnosed as acute retinal necrosis or cytomegalovirus retinitis, with 2 cases testing positive for herpesvirus DNA. Antiviral therapies were applied, which led to worsened vision and progression of the lesions. Subsequent referral testing of aqueous humor confirmed the presence of Toxoplasma gondii DNA. Anti-toxoplasma treatment resulted in significant resolution of the lesions and improvement in vision. Conclusions: In immunocompromised individuals, the presence of large necrotic retinal lesions without vitreous opacity or a history of cat exposure should raise suspicion for toxoplasmic retinochoroiditis. This awareness is crucial to prevent delayed diagnosis and subsequent vision loss.

 文章亮点

1. 关键发现:

 · 免疫抑制状态下弓形虫视网膜炎的表现不典型,特征包括大片状视网膜坏死性病灶、无猫接触史、可以不伴有玻璃体混浊。

2. 已知与发现:

 · 弓形虫视网膜炎的典型特征为视网膜局灶性黄白色坏死灶伴严重玻璃体混浊,形成特征性的“浓雾中的车灯”影像,以及多伴有猫接触史,病灶呈多发且新旧病灶并存。本研究报道了免疫抑制状态下的非典型弓形虫视网膜炎,且都被误诊为病毒性视网膜炎,抗病毒治疗无效,而抗弓形虫治疗后病灶吸收。

3. 意义与改变:

 · 临床医生应高度警惕免疫抑制人群中弓形虫视网膜炎的可能性,及时进行房水弓形虫DNA检测有助于明确诊断,从而提高预后。

        弓形虫(toxoplasma gondii)是一种广泛分布的单细胞寄生虫,是一种常见的人畜共患病的病原体。猫是弓形虫的终宿主。人类感染弓形虫的途径包括先天性(母婴传播)或者后天性,极少通过输血传播。其中后天性传播主要通过以下途径:摄入含有弓形虫虫卵的未经煮熟的哺乳类动物的肉类(如猪肉、羊肉、牛肉等)、饮用被污染的水或接触被污染的土壤等。大多数免疫功能正常的人感染弓形虫后,不会出现明显症状,呈隐性感染状态。在全球人群中,血清阳性率为20%~30%,同时存在一定的地区差异[1,2]
        视网膜是弓形虫感染的常见靶器官,临床表现为弓形虫视网膜炎,其典型特征为视网膜局灶性黄白色坏死灶伴严重玻璃体混浊,形成特征性的“浓雾中的车灯”影像,病灶多发且新旧病灶并存。然而,在免疫抑制状态下,弓形虫视网膜炎的临床表现常显著偏离典型特征,可能表现为无明显玻璃体混浊、视网膜呈现大片状黄白色坏死灶,且患者常无猫接触史,导致临床误诊风险显著增加。免疫抑制状态,如长期使用大剂量免疫抑制药物或伴随全身免疫性疾病,可能改变疾病的自然进程,掩盖典型体征,增加诊断难度。为探讨这一特殊人群的临床特点及误诊原因,本研究对3例(5眼)免疫抑制状态下表现为非典型弓形虫视网膜炎的患者进行了回顾性分析,现报道如下。

1 资料与方法

1.1 研究对象

        收集2021年9月—2023年4月就诊于中山大学中山眼科中心,视网膜表现为坏死性病灶、房水弓形虫DNA阳性、经过抗弓形虫治疗有效的患者。排除标准:1)具有弓形虫视网膜炎典型改变的患者;2)检测有活动性梅毒、结核分枝杆菌感染者,或曾有其他特殊病原微生物感染病史者(如巴尔通体、登革病毒等)。本病例报道遵循《赫尔辛基宣言》,且已获得患者的知情同意。

1.2 方法

        患者的检查包括最佳矫正视力(best corrected visual acuity, BCVA)、眼压检查、裂隙灯显微镜检查、广域眼底彩照TNF506(中国温州高视雷蒙光电科技有限公司)、光学相干断层扫描(optical coherence tomography, OCT, Spectralis HRA+OCT,德国海德堡公司)等眼科检查。实验室检查包括房水弓形虫DNA和人疱疹病毒DNA,以及血常规、梅毒、结核分枝杆菌、人类免疫缺陷病毒抗体等葡萄膜炎常规血清免疫学检查,以排除其他合并感染。

2 结果

        共纳入3例女性患者,年龄为31~34岁,均有长期服用免疫抑制药物病史,患者的病史、误诊原因分析以及预后见表1。

2.1 病例1

        患者因“左眼视力下降1月余”就诊于当地医院(图1),具体诊疗经过和全身情况见表1。右眼1年前因“葡萄膜炎”治疗后,无光感,此次未接受任何治疗。左眼治疗经过和效果见图2。患者初次就诊时眼底如图2A~C,房水爱泼斯坦-巴尔病毒(epstein-barr virus,EBV,又称EB病毒)阳性,接受抗病毒治疗1个月后,坏死灶呈进行性加重(图2D~F)。
        2021年9月10日就诊本院后,复查房水弓形虫定量DNA阳性后,开始接受抗弓形虫治疗:阿奇霉素0.5 g顿服(由于肾功能不足,根据肾小球滤过率换算所得),复方磺胺甲𫫇唑,每次960 mg,每日3次口服,局部用地塞米松滴眼液,每日6次,地塞米松眼膏,每晚1次,在风湿科医生会诊下,逐渐减量免疫抑制药物的使用剂量。脑部磁共振成像(magnetic resonance imaging, MRI)检查未见异常。图2G~L显示坏死灶逐渐吸收的过程。

图1 病例1右眼眼底照相和OCT图

 Figure 1 Fundus photograph and OCT image of the right eye of Case 1

图1 病例1右眼眼底照相和OCT图 Figure 1 Case 1 Fundus photograph and OCT image of the right eye
(A)眼底照相显示视网膜增殖、纤维化;(B、C)OCT图显示视网膜全层结构不清、纤维化。
(A) Fundus photography reveals retinal proliferation and fibrosis. (B, C)OCT image demonstrates disruption of the full-thickness retinal architecture with fibrosis.

图2 病例1左眼初诊和治疗经过及预后 

Figure 2 Initial presentation, treatment course, and prognosis of the left eye of Case 1

图2 病例1左眼初诊和治疗经过及预后 Figure 2 Case 1 Initial presentation, treatment course, and prognosis of the left eye.
外院初次就诊左眼眼底图:(A)显示散在点状黄白色病灶,合并新鲜出血,以及类圆形视网膜萎缩病灶,OCT显示视网膜色素上皮(Retinal Pigment Epithelium, RPE)下扁平生长的病灶,黄斑区少许渗出(B、C)。抗病毒治疗4周后:眼底图(D)见点状病灶逐渐融合成片状,并呈现典型坏死性改变,OCT 显示坏死灶累及全层(E、F),此时视力仅为0.05。抗弓形虫治疗3周后:坏死灶逐渐吸收(G),黄斑水肿减轻(H、I),视力提高至0.1。6个月后:坏死灶完全吸收,但由于糖皮质激素诱发了激素性白内障,眼底照相出现模糊(J),OCT显示坏死灶明显吸收,坏死区域视网膜萎缩,黄斑区残留渗出物(K、L),视力降至0.05。
Initial visit at external hospital of the left eye: (A) Fundus photograph shows scattered punctate yellowish-white lesions with fresh hemorrhages and round-like retinal atrophy.(B, C) OCT images reveal a flat sub-RPE lesion with mild exudation in the macular region. After 4 weeks of antiviral therapy:(D) Fundus image shows punctate lesions gradually coalescing into patches with typical necrotic changes. (E, F) OCT indicates full-thickness retinal necrosis; visual acuity declined to 0.05. After 3 weeks of anti-Toxoplasma therapy: (G) Fundus photograph demonstrates gradual absorption of necrotic lesions. (H, I) OCT shows reduced macular edema; visual acuity improved to 0.1.At 6-month follow-up: (J) Fundus image appears hazy due to steroid-induced cataract. (K, L) OCT reveals near-complete resolution of necrosis with retinal atrophy in affected areas and residual exudates in the macula; visual acuity decreased to 0.05.

表1. 患者的基本情况、现病史、既往史和外院主要治疗经过

 Table 1. Patient demographics, presenting history, past medical history, and key prior treatment course..docx

患者

性别,年龄

全身病史

猫接触史

眼病发作时的全身用药情况

当地医院眼科的诊断和治疗

1

女,32

系统性红斑狼疮(systemic lupus erythematosus, SLE)病史20余年,8年前曾因生育需求停药2年,后出现2次复发,继发SLE肾病2年,狼疮性肾炎,肾性高血压,近2年来每周2次血液透析维持治疗

泼尼松10 mg,每日1次,吗替麦考酚酯,早上2片,晚上1片。控制血压药物,以及降尿酸、叶酸、护胃、补钙、中药等药物

葡萄膜炎,局部糖皮质激素和抗生素治疗,外院房水检测提示EBV阳性后,诊断为“视网膜坏死”,给予口服抗病毒治疗和眼内注射抗病毒治疗1个月,视力进行性下降。右眼1年前因葡萄膜炎,已经无光感

2

女,34

SLE病史20年,间断用药,以及中药调理,5个月前出现第3次复发,并出现褥疮,复发后曾用泼尼松60 mg和环磷酰胺治疗,抗生素治疗褥疮。患者肝肾功能正常

泼尼松40 mg,口服抗生素控制褥疮,控制血糖、血压、血脂等药物,以及叶酸、护胃、补钙等

内源性眼内炎和病毒性葡萄膜炎。由于患者有褥疮,外院先诊断为“内源性眼内炎”,全身抗生素治疗2周后,无好转;随后检测房水提示EBV阳性,诊断为“视网膜坏死”,予以伐昔洛韦0.6 g每日3次和玻璃体腔注射抗病毒治疗2周后,视力进一步恶化,左眼已经降至无光感

3

女,31

患者3个月前因暴发性肝功能衰竭接受保守治疗,2周后接受肝移植,术后病理结果提示肝豆状核变性。术后接受他克莫司2.5 mg和吗替麦考酚酯0.5 g每日2次。术后监测发现他克莫司的血药浓度不足,因此加用五酯片3片,每日2次,用于提高他克莫司的血药浓度,随后监测到他克莫司的谷浓度高达13 ng/mL,超出安全值范围,减少五酯片为每日1次,同时减少他克莫司为2.0 mg每日2次,维持治疗到眼病发病前。术后预防性应用抗病毒药物治疗2周。

已经停用五酯片,并将他克莫司减量为1.0 mg和吗替麦考酚酯减量为0.25 g,每日2次

病毒性葡萄膜炎,先予静脉抗病毒治疗2周后无明显好转,随后联合应用玻璃体腔注射病毒治疗2周,以及视网膜激光光凝治疗,视力进一步恶化,右眼降至指数/20 cm

 

表2. 3例患者在本院就诊时的眼部体征和治疗预后 

Table 2. Ocular signs and treatment outcomes in the 3 patients at our hospital.

患者

眼别

视力

眼前段炎症

眼底图

OCT

房水

视力预后

1

右眼

NLP

角膜KP-细胞-

黄白色纤维化增殖

纤维化

未测

NLP

左眼

FC/30 cm

角膜KP-细胞1+, Tyndall 1+

多发性散在黄白色病灶,部分融合成片状,部分为陈旧性病灶。

坏死性改变

外院EBV+

复测弓形虫DNA阳性

0.12

2

右眼

FC/20 cm

前房细胞2+,玻璃体中度混浊

大片状坏死灶,鼻侧明显,尚未累及黄斑

成像欠清晰

外院EBV+

复测弓形虫DNA阳性

0.25

左眼

NLP

前房细胞 1+Tyndall 1+,玻璃体轻度混浊

黄白色坏死灶累积黄斑中心凹,鼻侧周边有片状坏死灶

坏死样改变

未测

NLP

3

右眼

FC/20 cm

房水细胞(+), Tyndall+

周边部和后极部大片视网膜下坏死灶,累及中心凹

坏死样改变

未测

NLP

左眼

0.16

房水细胞(+/-),Tyndall+/-

鼻上方周边视网膜环形坏死灶

坏死样改变

弓形虫DNA阳性

0.63

2.2  病例2

        患者因“双眼先后视力下降2周”就诊当地医院眼科,由于有褥疮,培养显示金黄色葡萄球菌感染,在外院先诊断为“内源性眼内炎”,全身抗生素治疗2周后,无好转,双眼玻璃体见中重度混浊(图3A、B)和视网膜坏死灶。随后检测房水提示EBV阳性,在当地医院诊断为“视网膜坏死”,进行了全身和口服抗病毒治疗、眼内注射抗病毒治疗,以及局部糖皮质激素治疗,治疗后玻璃体混浊减轻,但是患者视力进一步恶化。2022年4月22日转诊至我院门诊时,眼底图和OCT见图3C~H。尤其是图3G、H显示典型的坏死性改变。复测右眼房水弓形虫定量DNA提示强阳性,弓形虫视网膜炎诊断成立。患者脑部MRI检查未见异常。

图3 病例2抗弓形虫治疗前的2次眼底检查 

Figure 3 Two fundus examinations of Case 2 before initiation of anti-toxoplasma treatment.

图3 病例2抗弓形虫治疗前的2次眼底检查 Figure 3. Case 2 Two fundus examinations before initiation of anti-toxoplasma treatment.
初次就诊:眼底图(A右眼,B左眼)大片状黄白色坏死样病灶。抗病毒治疗2周:眼底图(C右眼,D左眼)和OCT(E、F右眼,G、H左眼) 显示坏死灶进一步扩大,OCT也证实为全层坏死灶。
Initial visit: Fundus photographs (A right eye, B left eye) show large, confluent yellowish-white necrotic lesions. After 2 weeks of antiviral treatment: Fundus images (C right eye, D left eye) and corresponding OCT scans (E, F right eye; G, H left eye) demonstrate further expansion of the necrotic areas. OCT confirms the presence of full-thickness retinal necrosis.
        就诊本院后,予抗弓形虫治疗,包括阿奇霉素1.0 g顿服,复方磺胺甲𫫇唑,每次960 mg,每日3次,局部地塞米松滴眼液,每日6次,地塞米松眼膏,每晚1次,在风湿科医生会诊下,停用抗生素,逐渐减量免疫抑制药物的使用剂量。治疗10 d的眼底图见图4A~F。

图4 病例2抗弓形虫治疗10d后的眼底和OCT图 

Figure 4 Fundus and OCT imaging of Case 2 after 10 days anti-toxoplasma treatment

图4 病例2抗弓形虫治疗10d后的眼底和OCT图 Figure 4. Case 2 Fundus and OCT imaging 10 days post anti-toxoplasma therapy.
抗弓形虫治疗10 d后:眼底图(A右眼,B左眼)和OCT(C、D右眼,E、F左眼),坏死灶明显吸收,右眼视力提高,左眼仍无光感。
After 10 Days of anti-toxoplasma treatment: fundus photographs (A right eye, B left eye) and OCT scans (C, D right eye; E, F left eye) show significant resolution of necrotic lesions. Visual acuity improved in the right eye, while the left eye remained no light perception.

2.3 病例3

        患者因“双眼先后视力下降1月余”于2022年10月26日于本院就诊,患者的全身情况和眼部体征见表1和表2。其在外院已接受全身和玻璃体腔抗病毒治疗、视网膜激光光凝治疗,但双眼病情进行性加重,并且右眼的坏死灶已经累及黄斑区,眼底图见图5A、B,OCT显示视网膜坏死性改变(图5C~F)。

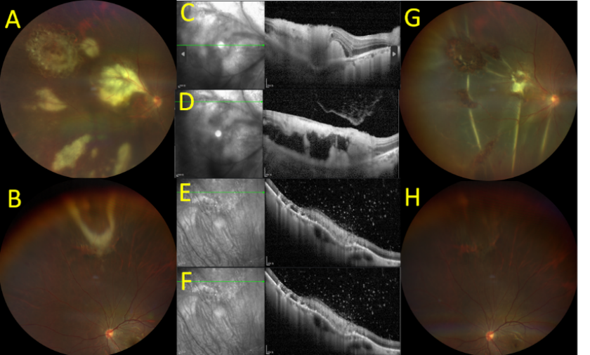
图5 病例3的双眼眼底图和治疗效果 

Figure 5. Case 3: bilateral fundus findings before and after anti-toxoplasma treatment

图5 病例3的双眼眼底图和治疗效果 Figure 5. Case 3: bilateral fundus findings before and after anti-toxoplasma therapy
病例3右眼于我院初诊时出现多发、大片状视网膜坏死,位于后极部和中周部,颞上病灶周围可见激光斑(A),左眼视盘正上方见一个马蹄形坏死灶(B),OCT显示双眼视网膜坏死灶(C~F),E、F的RPE上高反射为激光斑。(G,H)抗弓形虫治疗后,右眼坏死灶虽已吸收,但出现了视网膜脱离;左眼坏死灶已完全吸收。
Case 3: At initial presentation to our hospital, fundus photograph of the right eye (A) shows multiple, large patches of retinal necrosis in the posterior pole and mid-periphery. Laser spots are visible around the superotemporal lesion. A horseshoe-shaped necrotic lesion is observed directly superior to the optic disc of the left eye (B).OCT imaging (C–F) demonstrates retinal necrosis in both eyes. The hyperreflective material on the RPE in (E, F) corresponds to the laser spots. After anti-Toxoplasma treatment (G, H), the necrotic lesions have resolved, but retinal detachment has developed in the right eye. In the left eye, the necrotic lesions have completely resolved.
        就诊本院后,取左眼房水检测,结果显示弓形虫定量DNA阳性,予以抗弓形虫治疗,包括阿奇霉素1.0 g顿服;复方磺胺甲𫫇唑片,每次960 mg,每日3次;局部地塞米松滴眼液,每日6次;地塞米松眼膏,每晚1次。在肝移植科医生会诊下,减少免疫抑制药物的使用量。脑部MRI复查结果显示,脑部弓形虫感染,虽然患者暂无脑部症状,见图6A。在抗弓形虫治疗2个月后,复查脑部MRI显示脑部病灶全部吸收(扫描部位不完全在同一个平面),见图6B。

图6 病例3初次就诊时的脑部MRI和治疗2个月后的脑

Figure 6 Brain MRI of Case 3 at initial presentation and after 2 months of treatment

图6 病例3初次就诊时的脑部MRI和治疗2个月后的脑MRI Figure 6. Case 3: Brain MRI at Initial Presentation and After 2 Months of Treatment
(A)黄色箭头所指为初诊时脑部弓形虫病灶;(B)治疗后弓形虫病灶吸收。
(A) Yellow arrow indicates the cerebral toxoplasmosis lesion at initial diagnosis.(B) Follow-up imaging shows complete resolution of the lesion after treatment.

3 讨论

        本报道中3例弓形虫视网膜炎的患者均为无猫接触史的免疫力低下的人群,包括2例SLE患者及1例肝移植术后患者,其中2例为双眼发病,1例为单眼发病。在这些病例中,弓形虫视网膜炎极易被误诊为病毒性视网膜炎,呈大片状改变,尤其部分患者合并房水EBV阳性,进一步加大了误诊的可能性。
        EBV属于人类疱疹病毒,在人群中的血清抗体的阳性率高达90%以上,通常为潜伏感染,潜伏的部位包括腮腺、上皮组织和血液中的B细胞等[3-6]。虽然EBV和巨细胞病毒(cytomegalovirus,CMV)、带状疱疹病毒(varicella-zoster virus,VZV)、单纯疱疹病毒(herpes simplex virus, HSV)同属于人类疱疹病毒,但EBV不是引起视网膜病毒感染的病原体。EBV在房水中表现为阳性的原因可能是EBV感染机体后,其病毒核酸以附栓子(episome)的形式拴在机体的核酸上[7]。当机体细胞裂解坏死时,附栓子的EBV核酸就会脱落下来,从而被PCR检测到。因此房水EBV阳性并不能作为诊断ARN的诊断依据。还需要注意的是房水EBV阳性引起的另外一个疾病是原发性眼内T细胞淋巴瘤[8],这里不再展开讨论。
        JAMA Ophthalmology上的一项研究[9]报道了慢性SLE患者中出现了视网膜坏死样改变,抗病毒治疗无效后,眼球摘除病理后发现EBV阳性,作者认为该病例是首例EBV病毒感染的视网膜坏死,但作者没有对弓形虫视网膜炎进行鉴别诊断。同时,在Ophthalmology[10]和BJO[11]上也分别报道了SLE患者的视网膜炎被误诊为病毒性视网膜炎在接受抗病毒治疗后病情加重,重新评估后改为抗弓形虫治疗而病情好转的案例,与本研究报道的相似。
        如今,器官移植变得越来越常见,移植后需常规应用免疫抑制治疗。这些治疗会导致患者免疫力下降,从而容易产生机会性病原体感染。疱疹病毒,尤其是VZV和HSV,以及巨细胞病毒CMV,是移植后最常见的继发性感染病原体。除了病毒,当视网膜出现坏死性变化时,还需要考虑弓形虫感染。一些早期关于实体器官移植后视力模糊的报告就有被误诊为病毒感染产生视网膜脉络膜炎的情况[12]。在这些情况下,患者的视力仅应用抗病毒治疗病情很差,甚至恶化[13-14]。弓形虫感染既可能是源自供体,也可能是因为器官移植后长期接受免疫抑制治疗而新发的。目前没有临床指南指导弓形虫的预防医学或常规检测。因此,找到正确的病原体并迅速予以干预以防止后续严重的损害对研究者是一项挑战。
        另外,器官移植患者处于免疫抑制状态(如肝移植术后长期使用免疫抑制药物),弓形虫感染不仅局限于眼部,还可能累及中枢神经系统(如脑部),即使患者暂无神经系统症状。弓形虫是一种嗜神经性寄生虫,在免疫功能低下人群中,脑部是其常见的感染靶器官之一,可导致脑炎、脑脓肿等严重并发症,增加患者病死率[15]。若未及时筛查和治疗,潜伏性感染可能进展为显性脑部病变,导致严重神经功能损害甚至危及生命。因此,对于免疫抑制状态下的弓形虫视网膜炎患者,常规进行脑部弓形虫感染筛查具有重要临床意义。
        弓形虫感染视网膜表现为黄白色坏死样改变,OCT表现为累及视网膜全层的视网膜结构紊乱、视网膜坏死,呈致密强反射信号。玻璃体炎性混浊是眼内弓形虫感染的一个重要体征。然而,在免疫抑制状态的患者中,由病原体感染引起的玻璃体炎症反应都相对较轻,可能导致不合并玻璃体混浊的弓形虫视网膜感染,本报道中的3例患者也没有出现典型的“雾中的车头灯”(headlight in the fog)样改变[16],从而增加了正确诊断的难度。然而,免疫抑制状态下弓形虫感染体征也可能更为严重,其原因主要与机体免疫防御机制的缺陷有关。弓形虫是一种细胞内寄生虫,机体对其的免疫控制主要依赖T细胞介导的细胞免疫反应,特别是辅助性 T 细胞 1(T helper-1 cell,Th1型)免疫应答和细胞毒性T淋巴细胞(CD8+ T细胞)的细胞毒性作用[17]。在正常免疫状态下,γ-干扰素(interferon-gamma, IFN-γ)、白细胞介素-12(interleukin-12, IL-12)等细胞因子能够激活巨噬细胞和其他免疫效应细胞,有效控制弓形虫的复制和扩散,使感染局限于局部组织[18]。然而,在免疫抑制患者中,如SLE患者长期使用糖皮质激素和免疫抑制剂,或器官移植患者接受抗排斥治疗,这些药物显著抑制了T细胞功能和细胞因子的产生[19],无法维持对弓形虫的免疫控制。因此,在免疫抑制状态下,弓形虫能够不受控制地快速复制,导致广泛的组织坏死和炎症反应,临床表现为大片状视网膜坏死、病变进展迅速、双眼受累概率增加 [20],抗病毒药物无法发挥作用。当持续受病毒感染,患者视网膜炎可能进一步恶化,视网膜坏死加剧,最终导致眼球剜除的结局。
        在免疫抑制状态下,弓形虫视网膜炎的非典型表现(如大片状视网膜坏死、无玻璃体混浊、无猫接触史)易被误诊为病毒性视网膜炎或急性视网膜坏死(acute retinal necrosis syndrome, ARN)。早期采集房水进行病原体检测是明确诊断的关键步骤,可显著缩短误诊时间,避免不适当的抗病毒治疗导致病情恶化。由于房水检测手段的逐渐精细化,弓形虫感染的检出度越来越高。目前,临床主要的检查手段包括聚合酶链反应(polymerase chain reaction, PCR)检测技术以及抗弓形虫IgG抗体检测。PCR能够在弓形虫DNA浓度极低的眼内液样本中实现检测,其中数字滴度PCR(droplet digital polymerase chain reaction, ddPCR)在检测和定量方面具有极高的灵敏度和准确性,在精确度方面优于传统的荧光定量PCR(quantitative polymerase chain reaction, qPCR)方法[16]。对于视网膜坏死,尤其是临床表现不典型的、免疫功能低下或免疫紊乱的患者,眼科医生也应考虑采集眼内液,检测弓形虫DNA,排除弓形虫感染。对于很难鉴别的患者,眼底改变呈现黄白色坏死病灶时(表3),在常规考虑病毒感染的同时,也应增加弓形虫DNA的检测。

表3. CMV视网膜炎(CMVR)/急性视网膜坏死(ARN)与重症弓形虫感染在病灶表现的鉴别诊断

Table 3. Differential diagnosis of lesion presentation: cytomegalovirus retinitis (CMVR)/acute retinal necrosis (ARN) versus Severe Ocular Toxoplasmosis

项目

ARN

CMVR

重症弓形虫感染

病原体

HSV或VZV

CMV

弓形虫

机体免疫力

正常

免疫低下

免疫低下

病灶表现

黄白色坏死病灶

黄白色坏死病灶

黄白色坏死病灶

病灶特点

周边开始、环形进展、可呈多发性

后极部或周边,多呈扇形,片状

后极部或者周边部,点状、片状、可有典型的新旧病灶并存

玻璃体和视网膜的炎症反应

多数严重

很轻,或者比较轻

轻重不一

        弓形虫视网膜炎是免疫抑制状态人群一种常见的眼部机会性感染,临床表现和体征与病毒感染非常相似。在免疫抑制状态人群中,视网膜出现大片状坏死,玻璃体无明显混浊时,无论是否有猫接触史,眼科医生都应注意鉴别弓形虫视网膜感染。本研究病例都是免疫抑制状态人群,同时患者多合并全身用药,临床医师在治疗这类患者时,需要注意根据患者的免疫状态调整全身和局部抗感染治疗,以及抗弓形虫治疗。并且需要注意联合用药时的药物相互作用,避免并发症。

声明:

      1. 在本文的准备与撰写过程中,作者未使用任何生成式人工智能(GenAI)工具或服务,研究设计、数据收集与分析、病例整理、文稿撰写及修订等所有工作均由作者独立完成,确保本文内容的真实性、准确性与科学性,作者对本作品内容承担全部责任。
2. 本论文的病例3的部分图片以Clinical Challenge的形式发表于JAMA Ophthalmology 2024。

利益冲突

        所有作者均声明不存在利益冲突。

开放获取声明

        本文适用于知识共享许可协议(Creative Commons),允许第三方用户按照署名(BY)-非商业性使用(NC)-禁止演绎(ND)(CC BY-NC-ND)的方式共享,即允许第三方对本刊发表的文章进行复制、发行、展览、表演、放映、广播或通过信息网络向公众传播,但在这些过程中必须保留作者署名、仅限于非商业性目的、不得进行演绎创作。
1、Montoya J, Liesenfeld O. Toxoplasmosis[J]. Lancet, 2004, 363(9425): 1965-1976. DOI:10.1016/S0140-6736(04)16412-X.Montoya J, Liesenfeld O. Toxoplasmosis[J]. Lancet, 2004, 363(9425): 1965-1976. DOI:10.1016/S0140-6736(04)16412-X.
2、Robert-Gangneux F, Dardé ML. Epidemiology of and diagnostic strategies for toxoplasmosis[J]. Clin Microbiol Rev, 2012, 25(2): 264-296. DOI:10.1128/CMR.05013-11.Robert-Gangneux F, Dardé ML. Epidemiology of and diagnostic strategies for toxoplasmosis[J]. Clin Microbiol Rev, 2012, 25(2): 264-296. DOI:10.1128/CMR.05013-11.
3、Singer MA, Hagler WS, Grossniklaus HE. Toxoplasma gondii retinochoroiditis after liver transplantation[J]. Retina, 1993, 13(1): 40-45. DOI:10.1097/00006982-199313010-00010.Singer MA, Hagler WS, Grossniklaus HE. Toxoplasma gondii retinochoroiditis after liver transplantation[J]. Retina, 1993, 13(1): 40-45. DOI:10.1097/00006982-199313010-00010.
4、Almeria S, Dubey JP. Foodborne transmission of Toxoplasma gondii infection in the last decade. An overview[J]. Res Vet Sci, 2021, 135: 371-385. DOI:10.1016/j.rvsc.2020.10.019.Almeria S, Dubey JP. Foodborne transmission of Toxoplasma gondii infection in the last decade. An overview[J]. Res Vet Sci, 2021, 135: 371-385. DOI:10.1016/j.rvsc.2020.10.019.
5、Attias M, Teixeira DE, Benchimol M, et al. The life-cycle of Toxoplasma gondii reviewed using animations[J]. Parasit Vectors, 2020, 13(1): 588. DOI:10.1186/s13071-020-04445-z.Attias M, Teixeira DE, Benchimol M, et al. The life-cycle of Toxoplasma gondii reviewed using animations[J]. Parasit Vectors, 2020, 13(1): 588. DOI:10.1186/s13071-020-04445-z.
6、Marín-García PJ, Planas N, Llobat L. Toxoplasma gondii in foods: prevalence, control, and safety[J]. Foods, 2022, 11(16): 2542. DOI:10.3390/foods11162542.Marín-García PJ, Planas N, Llobat L. Toxoplasma gondii in foods: prevalence, control, and safety[J]. Foods, 2022, 11(16): 2542. DOI:10.3390/foods11162542.
7、Dheekollu J, Wiedmer A, Ayyanathan K, et al. Cell-cycle-dependent EBNA1-DNA crosslinking promotes replication termination at oriP and viral episome maintenance[J]. Cell, 2021, 184(3): 643-654.e13. DOI:10.1016/j.cell.2020.12.022.Dheekollu J, Wiedmer A, Ayyanathan K, et al. Cell-cycle-dependent EBNA1-DNA crosslinking promotes replication termination at oriP and viral episome maintenance[J]. Cell, 2021, 184(3): 643-654.e13. DOI:10.1016/j.cell.2020.12.022.
8、Cunningham ET, Zierhut M. Epstein-Barr virus and the eye[J]. Ocul Immunol Inflamm, 2020, 28(4): 533-537. DOI:10.1080/09273948.2020.1760549.Cunningham ET, Zierhut M. Epstein-Barr virus and the eye[J]. Ocul Immunol Inflamm, 2020, 28(4): 533-537. DOI:10.1080/09273948.2020.1760549.
9、Schaal S, Kagan A, Wang Y, et al. Acute retinal necrosis associated with Epstein-Barr virus: immunohistopathologic confirmation[J]. JAMA Ophthalmol, 2014, 132(7): 881-882. DOI:10.1001/jamaophthalmol.2014.266.Schaal S, Kagan A, Wang Y, et al. Acute retinal necrosis associated with Epstein-Barr virus: immunohistopathologic confirmation[J]. JAMA Ophthalmol, 2014, 132(7): 881-882. DOI:10.1001/jamaophthalmol.2014.266.
10、Yamamoto JH, Boletti DI, Nakashima Y, et al. Severe bilateral necrotising retinitis caused by Toxoplasma gondii in a patient with systemic lupus erythematosus and diabetes mellitus[J]. Br J Ophthalmol, 2003, 87(5): 651-652. DOI:10.1136/bjo.87.5.651.Yamamoto JH, Boletti DI, Nakashima Y, et al. Severe bilateral necrotising retinitis caused by Toxoplasma gondii in a patient with systemic lupus erythematosus and diabetes mellitus[J]. Br J Ophthalmol, 2003, 87(5): 651-652. DOI:10.1136/bjo.87.5.651.
11、Elkins BS, Holland GN, Opremcak EM, et al. Ocular toxoplasmosis misdiagnosed as cytomegalovirus retinopathy in immunocompromised patients[J]. Ophthalmology, 1994, 101(3): 499-507. DOI:10.1016/s0161-6420(13)31267-6.Elkins BS, Holland GN, Opremcak EM, et al. Ocular toxoplasmosis misdiagnosed as cytomegalovirus retinopathy in immunocompromised patients[J]. Ophthalmology, 1994, 101(3): 499-507. DOI:10.1016/s0161-6420(13)31267-6.
12、Papanicolaou GA, Meyers BR, Fuchs WS, et al. Infectious ocular complications in orthotopic liver transplant patients[J]. Clin Infect Dis, 1997, 24(6): 1172-1177. DOI:10.1086/513655.Papanicolaou GA, Meyers BR, Fuchs WS, et al. Infectious ocular complications in orthotopic liver transplant patients[J]. Clin Infect Dis, 1997, 24(6): 1172-1177. DOI:10.1086/513655.
13、Tailor PD, Smith WM, Dalvin LA. Blurred vision after a kidney transplant[J]. JAMA Ophthalmol, 2023, 141(5): 494-495. DOI:10.1001/jamaophthalmol.2023.0707.Tailor PD, Smith WM, Dalvin LA. Blurred vision after a kidney transplant[J]. JAMA Ophthalmol, 2023, 141(5): 494-495. DOI:10.1001/jamaophthalmol.2023.0707.
14、Bhatti MT, Gilbert AL, Hwang TN. A 72-year-old kidney transplant recipient with visual changes[J]. JAMA Ophthalmol, 2023, 141(6): 602-603. DOI:10.1001/jamaophthalmol.2023.1122.Bhatti MT, Gilbert AL, Hwang TN. A 72-year-old kidney transplant recipient with visual changes[J]. JAMA Ophthalmol, 2023, 141(6): 602-603. DOI:10.1001/jamaophthalmol.2023.1122.
15、Matta SK, Rinkenberger N, Dunay IR, et al. Toxoplasma gondii infection and its implications within the central nervous system[J]. Nat Rev Microbiol, 2021, 19(7): 467-480. DOI:10.1038/s41579-021-00518-7.Matta SK, Rinkenberger N, Dunay IR, et al. Toxoplasma gondii infection and its implications within the central nervous system[J]. Nat Rev Microbiol, 2021, 19(7): 467-480. DOI:10.1038/s41579-021-00518-7.
16、Park YH, Nam HW. Clinical features and treatment of ocular toxoplasmosis[J]. Korean J Parasitol, 2013, 51(4): 393-399. DOI:10.3347/kjp.2013.51.4.393.Park YH, Nam HW. Clinical features and treatment of ocular toxoplasmosis[J]. Korean J Parasitol, 2013, 51(4): 393-399. DOI:10.3347/kjp.2013.51.4.393.
17、Sasai M, Pradipta A, Yamamoto M. Host immune responses to Toxoplasma gondii[J]. Int Immunol, 2018, 30(3): 113-119. DOI:10.1093/intimm/dxy004.Sasai M, Pradipta A, Yamamoto M. Host immune responses to Toxoplasma gondii[J]. Int Immunol, 2018, 30(3): 113-119. DOI:10.1093/intimm/dxy004.
18、Ihara F, Yamamoto M. The role of IFN-γ-mediated host immune responses in monitoring and the elimination of Toxoplasma gondii infection[J]. Int Immunol, 2024, 36(5): 199-210. DOI:10.1093/intimm/dxae001.Ihara F, Yamamoto M. The role of IFN-γ-mediated host immune responses in monitoring and the elimination of Toxoplasma gondii infection[J]. Int Immunol, 2024, 36(5): 199-210. DOI:10.1093/intimm/dxae001.
19、Barrat FJ, Cua DJ, Boonstra A, et al. In vitro generation of interleukin 10-producing regulatory CD4+ T cells is induced by immunosuppressive drugs and inhibited by T helper type 1 (Th1)- and Th2-inducing cytokines[J]. J Exp Med, 2002, 195(5): 603-616. DOI:10.1084/jem.20011629.Barrat FJ, Cua DJ, Boonstra A, et al. In vitro generation of interleukin 10-producing regulatory CD4+ T cells is induced by immunosuppressive drugs and inhibited by T helper type 1 (Th1)- and Th2-inducing cytokines[J]. J Exp Med, 2002, 195(5): 603-616. DOI:10.1084/jem.20011629.
20、Zhang J, Kamoi K, Zong Y, et al. Cytomegalovirus retinitis: clinical manifestations, diagnosis and treatment[J]. Viruses, 2024, 16(9): 1427. DOI:10.3390/v16091427.Zhang J, Kamoi K, Zong Y, et al. Cytomegalovirus retinitis: clinical manifestations, diagnosis and treatment[J]. Viruses, 2024, 16(9): 1427. DOI:10.3390/v16091427.
上一篇
下一篇
其他期刊
  • 眼科学报

    主管:中华人民共和国教育部
    主办:中山大学
    承办:中山大学中山眼科中心
    主编:林浩添
    主管:中华人民共和国教育部
    主办:中山大学
    浏览
  • Eye Science

    主管:中华人民共和国教育部
    主办:中山大学
    承办:中山大学中山眼科中心
    主编:林浩添
    主管:中华人民共和国教育部
    主办:中山大学
    浏览
目录

点击右上角菜单,浏览器打开下载

我知道了